Pathologien
Sie finden hier eine kleine Auswahl an Pathologien, die im Sonografiekurs Abdomen ausführlich besprochen werden
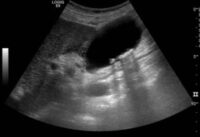
Längsschnitt über der Gallenblase
Längsschnitt über der Gallenblase
Längsschnitt über der Appendix
Querschnitt über der Appendix
Querschnitt über den Mittelbauch
Pathologien der Gallenblase
Im Längsschnitt über die Gallenblase erkennt man auf dem linken Bild neben einer verdickten Gallenblasenwand zwei Konkremente, die sich am Ausgang der Gallenblase, dem sogenannten Infundibulum (lat. Trichter), befinden. Lässt man den Patienten aufstehen, wie rechts im Bild dargestellt, fällt eines der Konkremente der Schwerkraft folgend in den Fundus der Gallenblase, während das zweite weiterhin im Infundibulum eingeklemmt bleibt.
Da die Gallenblase auch ohne Zufluss aus der Leber ständig Sekrete in ihr Lumen absondert, steigt bei einem blockierten Ausgang der intraluminale Druck kontinuierlich an. Steigt der Druck in der Gallenblasenwand, kollabieren zunächst die venösen Gefäße. Bei weiterhin bestehendem arteriellem Zustrom fällt dadurch der venöse Abfluss aus, was zu einer zunehmenden Kongestion und weiteren Wandschwellung führt.
Mit fortschreitender Druckerhöhung wird schließlich auch der arterielle Perfusionsdruck erreicht, wodurch auch die Arterien komprimiert werden. Ab diesem kritischen Punkt ist die Gallenblase vollständig von der Blutversorgung abgeschnitten und es entwickelt sich eine ischämische Nekrose der Gallenblasenwand. Unbehandelt kann dies zu Perforation, Peritonitis und septischen Komplikationen führen, weshalb die frühzeitige sonographische Diagnose und rechtzeitige Intervention von entscheidender Bedeutung sind. Die dargestellte fehlende Lageänderung eines der Konkremente bei Positionswechsel ist daher ein wichtiges diagnostisches Zeichen zum Beweis einer Obstruktion des Infundibulums
Im Längsschnitt über die Gallenblase erkennt man anstelle eines glatt begrenzen Gallenblasenlumens eine unregelmäßig begrenzte echoarme Flüssigkeitsansammlung im Gallenblasenbett und ventral der Leber. Es handelt sich hier um eine perforierte akute Cholecystitis auf Basis einer Cholecystolithiasis, welche bereits nach einer kurzen Schmerzperiode von 48h eingetreten ist. Eine solche Komplikation kann durch eine rasche Sonographie und anschließende chirurgische Vorstellung vermieden werden.
