Ultraschallkurs Wien
Dieser ÖGUM-zertifizierte Ultraschallkurs in Wien wird seit mehr als 20 Jahren von erfahrenen und motivierten Radiologen veranstaltet
Unser Ziel ist es, damals wie heute, Ihnen das Rüstzeug für selbständige und eigenverantworliche sonografische Untersuchungen mitzugeben. Der Schwerpunkt unserer Ultraschallkurse liegt dabei selbstverständlich in der Praxis. Ultraschall ist nicht aus Büchern oder durch Vorträge allein erlernbar. Die Sonografie kann man sich nur durch praktische Übungen unter Anleitung in kleinen Gruppen erarbeiten.
Das bedeutet: Unser Schwerpunkt liegt in der direkten Anleitung zur praktischen Sonografie in kleinen Gruppen jeweils durch einen erfahrenen Radiologen.






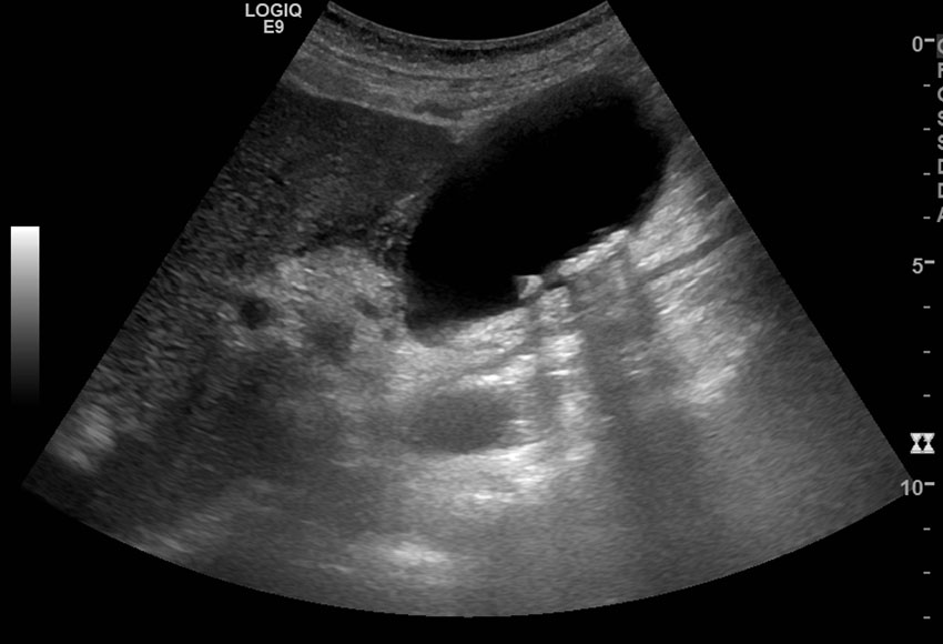
Cholezystolithiasis mit Cholezystitis
Abdomensonografie Grundkurs (23 DFP-Punkte)
24. und 25. April 2026
KURSGEBÜHR: € 500,-
Die Wiener Ultraschallseminare (Abdomensonografie Grundkurs)
Der klinische Alltag, ob im niedergelassenen Bereich oder im Spital, stellt Ärztinnen und Ärzte täglich vor diagnostische Herausforderungen. Patienten präsentieren sich mit unterschiedlichsten Krankheitsbildern und Symptomen, die meist einer weiterführenden Diagnostik bedürfen. Im Sinne unserer Patienten sind möglichst kurze und effiziente Wege wünschenswert, sodass eine direkt vor Ort angebotene Basisdiagnostik bereits viel Zeit und Weg ersparen kann.
In der heutigen Zeit zählt die Sonographie zu den fundamentalen diagnostischen Verfahren und kann in den Händen von geübten Anwendern eine beträchtliche Anzahl von Erkrankungen ein- oder ausschließen. Wie ein Stethoskop sollte die Sonographie als ein Werkzeug des praktizierenden Arztes verstanden werden, dessen er sich bedienen kann, um seinen Patienten eine optimale Behandlung zukommen zu lassen. Gerade die Abdomensonographie bietet als erste bildgebende Untersuchung bei unklaren Bauchschmerzen, Verdacht auf Organpathologien oder zur Verlaufskontrolle bekannter Erkrankungen einen unschätzbaren diagnostischen Mehrwert.
[download id=’1567′]