Pathologien

Sie finden hier eine kleine Auswahl an Pathologien, die im Sonografiekurs Abdomen ausführlich besprochen werden

Ultraschallkurs Abdomen

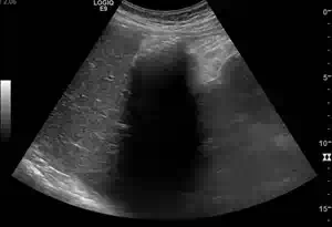
Längsschnitt über der Gallenblase

Die Abbildung zeigt eine verdickte und mehrschichtige Gallenblasenwand (akute Cholezystitis!). Im Lumen der Gallenblase erkennt man mehrere kleine Konkremente mit deutlichem dorsalen Schallschatten. Ein Artefakt, dass bei der Diagnose der Gallenblasenkonkremente hilfreich ist.

Pathologien der Gallenblase

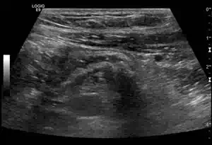
Längsschnitt über der Gallenblase

Die Gallenblase ist deutlich wandverdickt und mehrschichtig. Die echoarmen (im Bild dunklen) Wandanteile sind Flüssigkeitseinlagerungen im Rahmen der akuten Cholezystitis

Pathologien der Appendix

Längsschnitt über der Appendix

Eindrucksvoll erkennt man die deutlich verdickte Darmwand (über 6mm). In der dynamischen Untersuchung zeigt dieser Darmabschnitt keine Peristaltik. Weiters erkennt man einen zarten Flüssigkeitssaum als Ausdruck der Appendizitis

Pathologien der Appendix

Querschnitt über der Appendix

Gut zu erkennen ist die kokardenförmige Verdickung des Wurmfortsatzes sowie der umgebende Flüssigkeitsaum (im Bild echoram = dunkel dargestellt) = akute Appendizitis

Pathologien - Pankreatitis

Querschnitt über den Mittelbauch

Das Pankreas besitzt eine echoarme inhomogene Struktur und ist unscharf begrenzt. Auffällig ist ein 4 cm großes Flüssigkeitsdepot in der Bursa omentalis = akute Pankreatitis.

Pathologien der Gallenblase

Längsschnitt über der Gallenblase

Man erkennt an Stelle der Gallenblase lediglich ein breites, unregelmäßg begrenztes hartes Eintrittsecho mit dorsaler Schallauslöschung. Dabei handelt es sich um eine Schottergallenblase

Längsschnitt über der Gallenblase

Lageverschieblichkeit zweier Gallenblasenkonkremente mit akuter Cholezystitis

Im Längsschnitt über die Gallenblase erkennt man auf dem linken Bild neben einer verdickten Gallenblasenwand zwei Konkremente, die sich am Ausgang der Gallenblase, dem sogenannten Infundibulum (lat. Trichter), befinden. Lässt man den Patienten aufstehen, wie rechts im Bild dargestellt, fällt eines der Konkremente der Schwerkraft folgend in den Fundus der Gallenblase, während das zweite weiterhin im Infundibulum eingeklemmt bleibt.

Da die Gallenblase auch ohne Zufluss aus der Leber ständig Sekrete in ihr Lumen absondert, steigt bei einem blockierten Ausgang der intraluminale Druck kontinuierlich an. Steigt der Druck in der Gallenblasenwand, kollabieren zunächst die venösen Gefäße. Bei weiterhin bestehendem arteriellem Zustrom fällt dadurch der venöse Abfluss aus, was zu einer zunehmenden Kongestion und weiteren Wandschwellung führt.

Mit fortschreitender Druckerhöhung wird schließlich auch der arterielle Perfusionsdruck erreicht, wodurch auch die Arterien komprimiert werden. Ab diesem kritischen Punkt ist die Gallenblase vollständig von der Blutversorgung abgeschnitten und es entwickelt sich eine ischämische Nekrose der Gallenblasenwand. Unbehandelt kann dies zu Perforation, Peritonitis und septischen Komplikationen führen, weshalb die frühzeitige sonographische Diagnose und rechtzeitige Intervention von entscheidender Bedeutung sind. Die dargestellte fehlende Lageänderung eines der Konkremente bei Positionswechsel ist  daher ein wichtiges diagnostisches Zeichen zum Beweis einer Obstruktion des Infundibulums

Längsschnitt über der Gallenblase

Leberabszeß

Im Längsschnitt über die Gallenblase erkennt man anstelle eines glatt begrenzen Gallenblasenlumens eine unregelmäßig begrenzte echoarme Flüssigkeitsansammlung im Gallenblasenbett und ventral der Leber. Es handelt sich hier um eine perforierte akute Cholecystitis auf Basis einer Cholecystolithiasis, welche bereits nach einer kurzen Schmerzperiode von 48h eingetreten ist. Eine solche Komplikation kann durch eine rasche Sonographie und anschließende chirurgische Vorstellung vermieden werden.

Nach oben scrollen